아이 성장 생각해 미리 큰 신발 사는 건 NG

[소비자경제=곽은영 기자] 운동을 많이 하거나 활동량이 많은 어린이가 발 뒤꿈치 통증을 호소한다면 세버씨병을 의심해볼 수 있다. 이럴 경우 병원을 찾아 원인을 체크해보는 것이 좋다. <소비자경제>는 서울백병원 정형외과 이영 교수의 자문으로 아이들 발 건강을 위협하는 세버씨병에 대해 알아봤다.
- 세버씨병은 어떤 질환인가.
세버씨병은 아킬레스 힘줄이 뒤꿈치 뼈 골단을 잡아당겨 발생하는 질환이다. 정확하게 밝혀진 원인은 없지만 보행 시 발생하는 반복적인 압력으로 피로 골절이나 아킬레스건이 부착하는 부위에 골화 되지 않은 뒤꿈치의 성장판 때문에 발생한다고 추정되고 있다. 뒤꿈치뼈 골연골증이라고도 부르며 주로 축구, 농구, 체조, 육상 선수에서 많이 발생한다.
- 증상과 치료는 어떻게 이뤄지나.
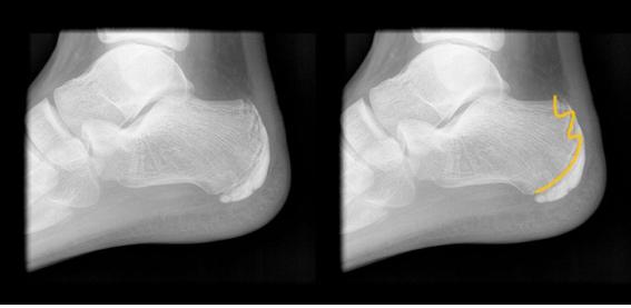
세버씨병은 방사선 촬영으로 질환의 여부를 확인할 수 있다. 방사선 촬영을 해보면 발에서 울퉁불퉁한 성장판이 관찰되기도 한다. 아킬레스 힘줄에 의해 당김이 발생할 때 더욱 불편함을 느낄 수 있다. 대부분 아이가 성장하면서 골단판이 유합돼 증상은 서서히 사라진다. 운동을 심하게 할 경우 생길 수 있는 질환인 만큼 충분한 휴식이 필수이며 증상이 심하면 염증을 가라앉히는 소염제를 먹기도 한다. 그러나 일부 증상이 악화돼 피로 골절이 동반되거나 아킬레스 힘줄 단축으로 증상이 심해지는 경우에는 족부 전문가의 진단과 치료를 받는 것이 좋다. 아이의 발에 맞는 깔창을 신발에 깔면 통증이 경감되기도 한다.
- 건강한 발 건강을 위한 관리법은.
먼저 올바른 신발 선택으로 질환을 미리 예방하는 것이 중요하다. 특히 유아는 의사표현이 원활하지 않을 수 있으므로 부모들이 신발과 아이의 발 상태를 꼼꼼하게 체크해야 한다. 아이에게 신발을 신길 때는 발 모양에 맞는 편안한 신발인지 살펴봐야 한다.
- 어린 아이의 신발을 고를 때 주의할 점은.
3세 이하의 아이들은 발의 아치가 아직 형성되지 않았기 때문에 신발을 고를 때 바닥이 편평하고 뒷굽이 단단한 것을 택해야 한다. 신발 앞쪽이 뾰족하면 걸을 때 걸려 넘어지기 쉽기 때문에 신발의 발끝 모양은 둥근 것이 좋다. 특히 성장이 빠른 아이들은 발도 빠르게 커가기 때문에 6개월에 한 번씩 점검해 발에 맞는 신발로 바꿔주는 것이 좋다.
- 연령별로 신발 선택 기준이 달라지나.
아이가 유치원에 다니기 시작하면 의사 표현이 가능해지기 때문에 아이의 생각을 반영해 신발을 고르면 된다. 아이가 편하다는 느낌을 받는 신발을 고르되 신발 속에서 발가락이 충분히 움직일 수 있도록 발끝과 신발 끝을 눌렀을 때 아이의 엄지손가락이 들어갈 정도의 여유가 있는지 체크해야 한다. 신발을 신었을 때 뒤꿈치가 헐겁지 않은지도 잘 관찰해야 한다. 무엇보다 아이가 크는 것을 생각해 미리 큰 신발을 사면 안 된다.
- 편안한 신발인지 알 수 있는 기타 기준은.
신발의 깔창은 쿠션이 충분해 발바닥을 보호할 정도가 되어야 한다. 밑창 역시 충격을 흡수할 수 있는 쿠션과 미끄럼 방지의 재질이 좋으며 유연성이 있어야 한다. 굽은 없거나 있더라도 2.5cm 이내가 좋다. 만약 그 이상의 굽이 있다면 아이의 발이 앞으로 쏠려 발가락이 신발에 눌려 발가락 모양에 변형이 올 수 있다. 아이들은 많이 뛰어다녀 발에 땀이 많이 나므로 통기성 좋은 소재를 선택해야 한다.
